近日,北京地坛医院徐州医院(徐州七院)超声医学科成功开展多例超声引导下胸膜穿刺活检术,标志着医院在胸膜疾病精准诊断领域取得新突破,为不明原因胸腔积液、胸膜增厚或占位性病变患者提供了更安全、高效的诊疗手段。
病例回顾
患者,女,17岁,因左胸痛1月入院。外院查PPD试验强阳性;胸部CT示:左肺少许炎症,左侧胸膜局限性增厚,胸膜间皮瘤不排除。为进一步了解胸膜结节性质,以明确诊断,经临床医疗团队讨论,决定行超声引导下胸膜穿刺活检术。

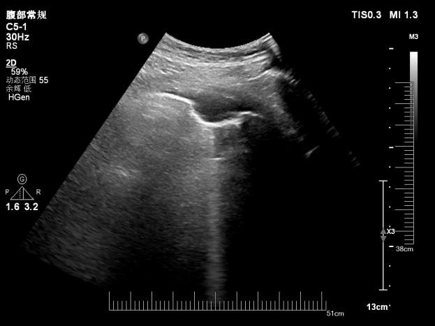
超声显示左侧胸膜结节

线阵探头显示结节内可见血流信号
超声医学科主任潘国栋与主治医师刘金昊依据超声显示的病变范围,细致规划了穿刺点、进针路线及深度,避开了肋间动脉、神经及病变侧方的肺组织。全程在超声的实时引导下,穿刺针精准到达病变部位,采集了2条病变组织。


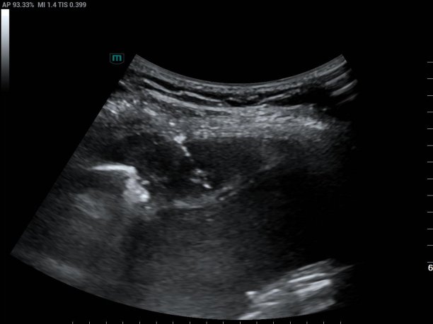
经超声引导下避开血管、实时显示穿刺针从进入胸膜结节到击发穿刺针的全过程
术后经病理科会诊,提示:穿刺组织呈慢性肉芽肿性炎,并见个别抗酸染色阳性的杆菌,结合分子检测结果,符合结核分枝杆菌感染。特殊染色:抗酸染色(+)。患者结核性胸膜炎诊断明确。

超声引导下胸膜穿刺活检术:
精准、微创、安全
胸膜病变的明确诊断一直是临床难点,传统盲穿或CT引导活检存在定位不准、并发症风险较高等局限,而超声引导下胸膜穿刺活检术具有以下优势:
●实时动态成像:超声全程可视化引导,精准定位病变部位,避开血管、神经等重要组织,显著提高取材成功率。
●微创安全:穿刺针径细,创伤小,患者痛苦轻,术后恢复快,并发症(如气胸、出血)发生率低。
●高效便捷:操作时间短,床旁即可完成,尤其适合危重或不宜搬动患者。
适用症
●不明原因的胸腔积液(怀疑结核、肿瘤等);
●胸膜增厚或结节需病理确诊;
●肺癌等恶性肿瘤胸膜转移的鉴别诊断。
禁忌症
● 凝血功能异常;
●无法配合呼吸、严重肺气肿、严重肺动脉高压、呼吸衰竭或存在意识和精神障碍;
● 缺乏超声可视化的安全穿刺路径;
●近期心肌梗死或不稳定型心绞痛。
科室简介

北京地坛医院徐州医院(徐州市第七人民医院)超声医学科引进先进高端的超声仪器,可常规开展多系统彩超常规检查、超声引导下穿刺活检和介入治疗及超声造影等诊疗项目,尤其在结核病及肝脏相关疾病的超声诊断及超声介入治疗方面具有一定的优势,同时在肺外结核、慢性肝炎、肝纤维化、肝硬化及肝脏良恶性肿瘤的诊断及鉴别诊断方面、尤其是在小肝癌(≤2㎝)的早期诊断中,有独到的专科优势,为患者及临床提供及时有利、科学严谨的早期诊断。
目前,北京地坛医院超声团队已全面入驻,同时联通与北京地坛医院的超声远程会诊系统,建立了北京-徐州的一体化超声诊疗,实现疑难病例的全天候实时远程会诊。
专家简介

潘国栋
➸首都医科大学附属北京地坛医院超声科 副主任医师;农工民主党党员;中日医学科技交流协会超声医学分会委员。
➸从事超声诊疗工作20余年,具有丰富的工作经验。每年高质量完成超声诊断及治疗病例近万例。熟练掌握腹部、妇产科、浅表器官(甲状腺、乳腺、肌肉神经等)、外周血管心血管疾病的彩色多普勒超声检查及超声介入操作,尤其擅长腹部、浅表器官、血管疾病的超声诊断,在疑难危重疾病的超声诊断方面有一定造诣。对于疑难及危重病例,能够依据循证医学的观点,思路清晰做出诊断。
➸以第一作者发表本专业论文8篇,获得国家专利授权2项,参与多项科研项目研究工作。
苏公网安备32030302000502号