体检中心
健康证明
采购招标
招聘招生
0516-68900770
来院路线
首都医科大学附属北京地坛医院徐州医院 徐州市第七人民医院
门诊排班
网站首页
就医指南
门诊开诊时间
门诊排班
就诊流程
出入院流程
诊疗技术
来院路线
联系我们
医保指南
医保报销
医保门慢鉴定
健康管理
体检中心
健康证明
健康科普
科室设置
临床科室
医技科室
专家团队
新闻中心
医院动态
媒体报道
视频在线
电子院报
通知公告
医院公告
采购招标
招聘招生
下载中心
院务公开
信息公示
规章制度
政策法规
党建文化
党团工作
医院文化
先进风采
科研教学
科教动态
学术论坛
医学伦理委员会
药物临床试验机构
医护风采
专题活动
三好一满意
党的群众路线实践教育专栏
开展卫生城市创建活动
两学一做
解放思想大讨论活动
抗击新冠肺炎
健康管理
当前位置 :
首页
健康管理
体检中心
健康证明
健康科普
下面这些信息可能会对您
提供帮助
门诊开诊时间
门诊排班
健康证办理
医保指南
出入院流程
来院路线
联系我们
健康管理
2022.07.15
健康科普
阅读 58964
关于新冠病毒感染者“复阳”的理解与处理建议
“复阳”,一般指新冠感染者康复出院后再次出现核酸检测阳性的现象,由于不同国家乃至地区的出院标准并不相同,对“复阳”的界定也不统一,目前尚未有机构对其作出明确定义。...
2022.07.13
健康科普
阅读 26797
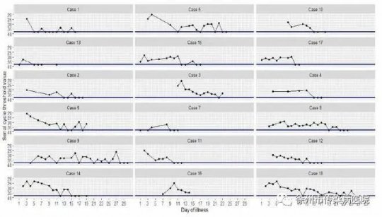
关于新冠病毒检测中“CT”值意义与作用的理解
近期经常被CT值所困扰,估计有不少和我一样的同事,趁值班期间稍微空闲一点,大家一起来学习一下。...
2022.01.14
健康科普
阅读 12150
什么是冠状病毒
自新冠疫情暴发以来,冠状病毒成为热门词汇。虽然现在“新冠”耳熟能详,那么到底是什么东东呢?...
2021.12.27
健康科普
阅读 624
西安发生多例,你了解出血热吗?
据多家媒体报道,近日西安出现多例出血热,甚至网传与吃草莓有关,那么什么是出血热呢?...
2021.12.15
健康科普
阅读 416
徐州市传染病医院感染性疾病科主任张凤池提醒:猫咪虽可爱,撸猫有危险
近日,据新闻媒体报道,广东佛山一女士因发烧、呼吸不畅于12月5日到佛山市第二人民医院求诊,治疗期间病情恶化出现呼吸衰竭、陷入昏迷,后被确诊是恙虫病,经调查其致病原因,...
2021.12.03
健康科普
阅读 408
男男约会后,赶快吃后悔药!专家:发生高危行为72小时之内服用阻断药
2021年12月1日是第34个“世界艾滋病日”。今年世界艾滋病日宣传主题是“终结不平等 终结艾滋病 终结大流行”。...
2021.12.03
健康科普
阅读 676
孕产妇感染了艾滋病--及时采取医学手段,阻止病毒传给婴儿
徐州市传染病医院感染性疾病科主任张凤池提醒:当艾滋病感染孕产妇,应及时采取医学手段阻止艾滋病病毒传给婴儿。...
2021.11.24
健康科普
阅读 200
如何应对“恐艾”
在现实生活中吧,许多自以为有过高危行为的的人,反复检测,自己机械的对照所谓的艾滋病症状、自加压力、恐惧异常,如何才能摆脱这种状态呢?...
2021.11.19
健康科普
阅读 744
怀疑自己感染艾滋病在什么时候检测
世界艾滋病日的宣传让更多的人了解了艾滋病,也有一些人怀疑自己有了高危行为,想去检测艾滋病,那么什么时候检测艾滋病准确呢?...
2021.11.19
健康科普
阅读 392
如何终结艾滋病
2021年12月1日是第34个“世界艾滋病日”。国家卫生健康委和国务院防治艾滋病工作委员会办公室确定并发布今年宣传活动主题:“生命至上 终结艾滋 健康平等”。...
2021.11.05
健康科普
阅读 576
天气转凉 注意预防流脑
流脑是流行性脑脊髓膜炎的简称,是由脑膜炎双球菌引起的化脓性脑膜炎,以冬春季发病较多,14岁以下年龄、尤其是7岁以下儿童发病率最高。脑膜炎双球菌隐藏于患者或带菌者的鼻咽分...
2021.10.26
健康科普
阅读 516
为了孩子,梅毒妈妈应做好哪些?
目前,随着社会的发展、外出务工人员的增加和人们意识形态的变化,梅毒患者逐渐增多,加之其有些患者症状不典型,造成新生儿梅毒较前明显增加,那么作为一名即将成为妈妈的孕...
2021.10.18
健康科普
阅读 548
1人死亡!6例确诊,如何预防鹦鹉热?
近日,浙江丽水市先后发现报告7例鹦鹉热,截至10月5日,5例已痊愈出院,1例仍在住院,另有1例医治无效死亡。...
2021.02.04
健康科普
阅读 17749
春节将至,肝病应注意哪些
避免肝脏病变加重肝病患者切忌饮酒 徐州市传染病医院肝病科主任医师 王骥 春节是传统节日,很多人都做好了休闲娱乐的准备,但不是人人都有资本一醉方休的。肝病患者如果也沉迷...
2020.11.25
健康科普
阅读 18488
【11.12世界肺炎日】关于肺炎、肺结节的那些事儿,你知晓几个?
年初,新冠肺炎在武汉爆发,以势不可挡之势席卷全球,引起全世界各国人民的广泛关注,近期的肺结核疾病也让不少高校师生心惊胆战,在11月12日的世界肺炎日到来之际,徐州市传染...
2020.11.25
健康科普
阅读 21221
徐州市传染病医院结核专家张海晴:肺结核并未消失,定期体检筛查可有效预防!
随着医疗卫生条件的不断进步、人们生活水平的不断提高,肺结核似乎逐渐消失在大众视线中,因近期高校肺结核爆发的新闻被大众关注。实际上,肺结核从未消失,这场白色瘟疫从未...
2020.11.05
健康科普
阅读 17726
徐州市传染病医院中医药宣传月知识系列:煎好的中药汤液如何服用?
(一)选择好服药时间 中药服药时间有饭前服、饭后服、睡前服、不拘时服等等,根据不同病症及药物而不同,驱虫药、攻下药、滋补药、制酸和开胃等治疗胃肠道疾病的药宜饭前服。因饭前胃中空虚,服药后可避免与胃中食物混合,能迅速入肠中,被人体充分吸收。如...
2020.11.02
健康科普
阅读 18111
徐州市传染病医院中医药宣传月知识系列:中药汤药如何煎制?
经历这次新冠疫情,越来越多的人开始服用中药,但很多人对煎煮中药很陌生,觉得这是一件很困难的事情;中药的煎煮方法正确与否,直接影响治疗效果,如清.徐灵胎在《医学源流论》中所说:煎药之法,最宜深讲,药之效不效,全在乎此。 (一)煎药器具如何选择...
2020.10.28
健康科普
阅读 17240
专家科普提醒:天气转凉,防控新冠感染的同时要注重流感的预防
深秋季节,天气逐渐转凉,各地在加大新型冠状病毒肺炎防控的同时,也不要忘了这个季节也是流感高发季节,一般情况下,流感不会引起严重后果,但近几年来,重症流感不断出现,应该引起大家的重视。流感的杀伤性往往来自于重症流感及流感并发症。流感一般引起...
2020.10.28
健康科普
阅读 18358
传染病专家教你秋季如何养肝、护肝
谈到秋季养肝、护肝,首先是要了解肝脏在人体这个精密的仪器中起什么样的作用:从位置上讲,它是位于腹腔的一个实质性脏器;从功能上讲,可以说它是发电厂、生化工厂、是蛋白质、糖、脂肪、维生素代谢、合成、储存工厂、是垃圾处理厂、是消化道的最大的腺体...
首页
上一页
9
10
11
12
13
14
15
下一页
末页
返回 · 健康管理
病历
邮寄
微信
订阅
微信
服务